جراحی دندان عقل با لیزر، بدون درد و خونریزی
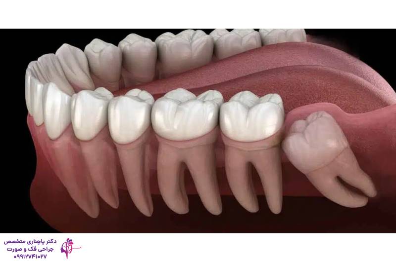
جراحی دندان عقل با لیزر یکی از جدیدترین روشها در علم دندانپزشکی است. استفاده از لیزر کشیدن دندان عقل را به یک درمان آسان و کمتهاجمی تبدیل کرده است. دندانهای عقل، که معمولاً در اواخر نوجوانی یا اوایل بزرگسالی شروع به رشد میکنند در بسیاری از موارد باعث درد، عفونت یا فشار بر دندانهای مجاور میشوند و باید حتما با جراحی از فک خارج شوند.
کشیدن دندان عقل نهفته در گذشته با ابزارهای سنتی انجام میشد و معمولا با درد، تورم و دوره نقاهت طولانی همراه بود. اما امروزه با ورود لیزر به عرصه پزشکی و دندان پزشکی کشیدن دندان عقل خیلی راحتتر از قبل شده. به کمک لیزر نه تنها دقت کار بالا رفته بلکه خونریزی و عوارض اینچنینی هم کاهش پیدا کرده. در این مقاله قصد داریم درباره کشیدن دندان عقل با لیزر، هزینه کشیدن دندان عقل با لیزر و نکات مهم در این مورد صحبت کنیم. ادامه این مقاله را دنبال کنید.
دکتر حمید پاچناری، جراح فک و صورت در زعفرانیه تهران، انواع عملهای مربوط به فک و دندان مثل کشیدن دندان نهفته و نیمهنهفته، ایمپلنت دندان، درمان شکستگی استخوانهای صورت و بسیاری دیگر از خدمات دندانپزشکی با به کارگیری بهترین امکانات و تجهیزات روز دنیا متناسب با نیاز بیمار انجام میشود. برای دریافت مشاوره و یا رزرو نوبت با شمارههای کلینیک تماس بگیرید. ۰۲۱۲۶۲۰۵۶۱۰ – ۰۹۹۱۲۷۴۱۰۲۷

جراحی دندان عقل با لیزر چیست؟
جراحی دندان عقل با لیزر در واقع استفاده از پرتوهای ملایم لیزر برای کنار زدن بافت لثه و بیرون آوردن دندان عقل است. دندانهای عقل معمولا به دلیل کمبود فضای فک یا کج رشد میکنند یا به صورت نهفته در بافت لثه باقی میمانند. وجود این دندانها در بعضی افراد هیچ نشانه و عوارضی ندارد اما در بعضی دیگر میتواند باعث التهاب لثه، عفونت یا حتی آسیب به دندانهای کناری شود.
در این روش به جای تیغ یا دریلهای مرسوم دندانپزشکی بریا رسیدن به دندان از لیزر استفاده میکنند. با تابش پرتوهای نور به بافت آب داخل سلولها تبخیر شده و در نتیجه بافت از هم جدا میشود. دقت بالای این روش به دندانپزشک اجازه میدهد که بدون آسیب رساندن به بافتهای اطراف دندان را بیرون بیاورد. یک مزیت بزرگ کشیدن دندان عقل با لیزر این است که دیگر خبری از برش و بخیه نیست. پرتوهای لیزر میتوانند همزمان با برش رگهای خونی را بسوزانند و جلوی خونریزی را بگیرند. این موضوع برای بیمارانی که مشکلات انعقادی دارند اهمیت زیادی دارد.
هزینه جراحی دندان عقل با لیزر
هزینه کشیدن دندان عقل با لیزر به دلیل نیاز به ابزار و تجهیزات پیچیده هزینه بیشتری نسبت به روش معمولی دارد. از طرفی از آنجا که دندانپزشک باید مهارت و دانش کافی برای استفاده از این ابزار را داشته باشد هزینه بیشتری برای این عمل دریافت میکند. پیچیدگی وضعیت دندان و میزان نهفته بودن آن نیز از عوامل تاثیرگذار روی هزینه جراحی است. برای دریافت اطلاعات تکمیلی درباره هزینه کشیدن دندان عقل یا رزرو نوبت مشاوره میتوانید با کلینیک دندانپزشکی دکتر پاچناری تماس بگیرید. ۰۲۱۲۶۲۰۵۶۱۰ – ۰۹۹۱۲۷۴۱۰۲۷
جراحی دندان عقل با لیزر چطور انجام می شود؟
جراحی دندان عقل با لیزر یک فرآیند چند مرحلهای است که باید با دقت بالا انجام شود. در ادامه مراحل این عمل را به صورت مختصر توضیح میدهیم:
ارزیابی و برنامهریزی
در این مرحله اول باید وضعیت دندانهای بیمار توسط دندانپزشک بررسی شود. احتمالا برای بررسی جای دقیق دندان عقل عکسبرداری انجام میدهند. این تصاویر نشان میدهند که دندان در چه موقعیتی قرار دارد و آیا کاملا نهفته است یا نیمهنهفته، در چه زاویهای قرار گرفته و چقدر به اعصاب حساس یا سینوسها نزدیک است. با توجه به این موارد دندان پزشک تشخیص میدهد که آیا جراحی دندان عقل با لیزر برای بیمار مناسب است یا نه.
آمادهسازی بیمار و بیحسی
بعد از اینکه معاینات اولیه انجام شد و دندانپزشک به این نتیجه رسید که کشیدن دندان عقل با لیزر برای بیمار مانعی ندارد مرحله آمادهسازی و بیحسی آغاز میشود. در این مرحله بافت اطراف دندان را با تزریق بیحسی موضعی بیحس میکنند و بیمار در طول جراحی هیچ دردی احساس نمیکند. داخل دهان را به کمک محلولهای ضدعفونیکننده تمیز میکنند تا خطر عفونت به حداقل برسد. یک مزیت استفاده از لیزر برای کشیدن دندان این است که چون دقت بالایی دارد و احتمال خطا به شدت کم میشود مثل روشهای سنتی نیازی به بیحسی زیاد نیست.
برش بافت نرم با لیزر
در این مرحله دندانپزشک به کمک دستگاه لیزر که معمولا از نوع دیود یا CO2 است روی بافت لثه برش ایجاد میکند. بر خلاف تیغ جراحی لیزر فشاری به بافت فیزیکی وارد نمیکند و آسیبی هم با بافتهای اطراف وارد نمیکند. این مرحله معمولا بین 5 تا 15 دقیقه طول میکشد، این زمان بسته به عمق دندان ممکن است طولانیتر شود. لیزر رگهای خونی کوچک را میبندد و به این ترتیب خونریزی را به حداقل میرساند و جراحی تمیز و با کمترین برش انجام میشود.
دسترسی به دندان و برش استخوان
اگر دندان عقل نهفته یا نیمهنهفته باشد و بخشی از آن زیر استخوان فک قرار گرفته باشد، جراح از لیزر برای برش استخوان اطراف استفاده میکند. لیزرهای مخصوص، مانند لیزر اربیوم، میتوانند استخوان را بهصورت کنترلشده برش دهند یا آن را نرم کنند تا دسترسی به دندان آسانتر شود. این کار با دقت بسیار بالایی انجام میشود تا به اعصاب یا ساختارهای مجاور آسیب نرسد. این مرحله بسته به اینکه دندان در چه عمق و زاویهای قرار گرفته باشد ممکن است بین 10 تا 20 دقیقه طول بکشد.
خارج کردن دندان
پس از اینکه دندان عقل کاملا نمایان شد، جراح با استفاده از ابزارهای ظریف دندانپزشکی آن را از جای خود خارج میکند. این مرحله سریع انجام میشود، زیرا لیزر قبلا بافتها و استخوان اطراف را کنار زده است. در ادامه برای تمیز کردن ناحیه و کم کردن التهاب از لیزر استفاده میکنند. بسته به اینکه دندان در چه موقعیتی باشد و مشکل بیمار چقدر پیچیده باشد ممکن است کمی بیشتر از حد معمول طول بکشد. لیزر با بستن رگهای خونی خونریزی را به حداقل میرساند و طول دوره نقاهت را هم کم میکند.
تکمیل جراحی و مراقبت نهایی
دندانپزشک بعد از بیرون کشیدن دندان ناحیه جراحی را تمیز میکند و برای بستن رگهای خونی باقیمانده از لیزر استفاده میکند. این یعنی نیازی به بخیههای معمولی نیست. اما در صورتی که برش بزرگ باشد و دندانپزشک تشخیص دهد میتواند از بخیههای ظریف و جذبی استفاده کند. کل فرآیند جراحی، بسته به پیچیدگی کمتر از یک ساعت طول میکشد. بیمار پس از جراحی میتواند بلافاصله به خانه بازگردد و کارهایی که دندانپزشک برای مراقبت از دندان گفته را به دقت انجام دهد.
آیا جراحی با لیزر دردناک است؟
یکی از نگرانیهای اصلی افراد در مورد جراحی دندان عقل با لیزر، دردناک بودن آن است. خوشبختانه این روش از روشهای معمولی و سنتی راحتتر است و بیمار تقریبا حتی بعد از عمل هم درد خاصی احساس نمیکند. چون لیزر با دقت بالایی بافت لثه را برش میدهد و احتمال اینکه به عصب آسیب برسد خیلی کمتر است. علاوه بر این قبل از شروع جراحی از بیحسی موضعی استفاده میشود که ناحیه جراحی را کاملا بیحس میکند، پس نگران نباشید هیچ دردی احساس نخواهید کرد. در این روش حتی بعد از عمل هم درد کمتر است چون لیزر التهاب را کم کرده و فرآیند بهبودی را سریعتر میکند. تنها یک مسکن ساده میتواند درد ملایم بعد از کشیدن دندان عقل را از بین ببرد. البته میزان درد به پیچیدگی جراحی هم بستگی دارد و میتواند نسبت به بدن فرد متفاوت باشد.
مزایای جراحی دندان عقل با لیزر
همانطور که تا الان متوجه شدهاید جراحی دندان عقل با لیزر مزایای زیادی دارد و به همین دلیل این روزها تبدیل به یکی از گزینههای درمان در دندان پزشکی شده است. یکی از مهمترین مزایای استفاده از لیزر برای کشیدن دندان عقل کاهش خونریزی است. چون لیزر همزمان با برش رگهای خونی را میبندد و خطر خونریزی شدید را تا حد ممکن کم میکند. این ویژگی برای افراد مشکلات انعقادی دارند یا کسانی که از داروهای رقیقکننده خون استفاده میکنند، بسیار مفید است. علاوه بر این، لیزر التهاب و تورم پس از جراحی را به حداقل میرساند، زیرا بافتهای اطراف کمتر آسیب میبینند و فرآیند بهبودی سریعتر میشود. یک مزیت دیگر استفاده از لیزر در این روش کاهش احتمال آسیب رسیدن به اعصاب یا دندانهای مجاور است. علاوه بر این در روش لیزری نیاز به بخیه نیست و در بسیاری از مواقع زخمها به صورت طبیعی بسته میشوند. از طرفی به دلیل استفاده از پرتوهای لیزر بافت لثه استریل میشود و خطر عفونت هم کاهش پیدا میکند.
عوارض جراحی دندان عقل با لیزر
جراحی دندان عقل با لیزر، هرچند روشی پیشرفته و کمتهاجمی است اما باز هم مانند هر روش درمانی دیگری با بعضی عوارض همراه است. در ادامه به بعضی از رایجترین عوارض این جراحی اشاره میکنیم:
حساسیت موقت لثه: پس از جراحی، ممکن است لثهها یا بافتهای اطراف ناحیه جراحی به دلیل تماس با لیزر دچار حساسیت شوند. این حساسیت به شکل سوزش خفیف خودش را نشان میدهد و طی چند روز یا یک هفته از بین میرود. استفاده از کمپرس سرد هم میتواند درد و سوزش خفیف را کاهش دهد.
آسیب احتمالی به بافتهای سالم: در صورتی که تنظیمات دستگاه لیزر بهدرستی انجام نشود یا دندانپزشک تجربه کافی نداشته باشد، ممکن است پرتو لیزر به بافتهای سالم اطراف آسیب برساند. این آسیب میتواند باعث تورم یا درد طولانیتر شود.
خطر عفونت: هرچند لیزر به دلیل خاصیت ضدعفونیکنندهاش خطر عفونت را کاهش میدهد، اما این احتمال همچنان وجود دارد مخصوصا اگر بیمار دستورالعملهای بهداشتی پس از جراحی را رعایت نکند. عفونت ممکن است با علائمی مانند تورم شدید، درد مداوم یا تب همراه باشد و نیاز به درمان با آنتیبیوتیک دارد.
خشکی دهان یا تغییر حس چشایی: برخی بیماران ممکن است پس از جراحی احساس خشکی دهان یا تغییر موقت در حس چشایی داشته باشند. این عوارض به دلیل تحریک اعصاب ناحیه دهان رخ میدهند و در عرض چند روز برطرف میشوند. نوشیدن مایعات کافی میتواند به بهبود این وضعیت کمک کند.
نیاز به ترکیب با روشهای معمولی: در مواردی که دندان عقل زیادی نهفته باشد که موقعیت پیچیدهای داشته باشد ممکن است لیزر به تنهایی کافی نباشد. در چنین شرایطی احتمال اینکه دندان پزشک از ابزارهای سنتی مثل تیغ جراحی یا دریل استفاده کند وجود دارد. در این شرایط دوره نقاهت طولانیتر میشود.
هزینه بالاتر: جراحی با لیزر معمولا هزینه بیشتری نسبت به روشهای سنتی دارد، که ممکن است برای برخی افراد یک محدودیت اقتصادی محسوب شود. این هزینه به دلیل استفاده از تکنولوژی پیشرفته و نیاز به تخصص خاص است.
مراقبتهای پس از جراحی دندان عقل با لیزر
برای اینکه بعد از کشیدن دندان عقل با لیزر سریعتر بهبود پیدا کنید و جلوی عوارض را بگیرید باید یک سری نکات مراقبتی را رعایت کنید.
- بعد از جراحی روی گونه خود کمپرس سرد بگذارید تا تورم و التهاب کم شود. هر بیست دقیقه کمپرس را از روی صورت خود بردارید و دوباره بگذارید تا پوستتان آسیب نبیند.
- در چند روز بعد از جراحی حتما غذاهای نرم مثل سوپ، پوره، ماست و فرنی مصرف کنید. این غذاها فشار کمتری به محل جراحی وارد میکند و جلوی تحریک شدن زخم را میگیرد. تا مدتی از خوردن غذاهای تند، داغ یا سفت خودداری کنید.
- نوشیدن مایعات فراوان و مرطوب نگه داشتن دهان برای کاهش خطر عفونت موثر است. نوشیدن آب کمک میکند ناحیه جراحی پاکسازی شود و دهان خشک نشود. در روزهای اول از خوردن نوشیدنیهای گازدار یا الکلی خودداری کنید.
- داروهایی که دندانپزشک برای بعد از عمل تجویر میکند را حتما مصرف کنید. ایبوپروفن و آنتیبیوتیک برای پیشگیری از عفونت موثر هستند و درد و التهاب را کنترل میکنند.
- در بیست و چهار ساعت اول بعد از جراحی دهان را با محلول آب و نمک ولرم بشویید. این کار به تمیز کردن نگه داشتن ناحیه جراحی و کاهش باکتریها کمک میکند. از دهانشویههای قوی استفاده نکنید چون ممکن است زخم را تحریک کند.
- فعالیتهای شدید مانند ورزش، بلند کردن اجسام سنگین یا حرکات ناگهانی در روزهای اول پس از جراحی میتواند باعث خونریزی یا فشار به ناحیه جراحی شود. بهتر است حداقل ۴۸ تا ۷۲ ساعت استراحت کنید و فعالیتهای سنگین انجام ندهید.
- سیگار کشیدن و مصرف الکل میتواند روند بهبودی را مختل کند و خطر عفونت را بالا ببرد و باعث بروز حفره خشک شود. تا یک هفته بعد از عمل از کشیدن سیگار و مصرف الکل بپرهیزید.
- بعد از جراحی برای معاینات منظم نزد دندانپزشک بروید تا روند بهبودی را بررسی کند و در صورت بروز هرگونه مشکل به موقع اقدامات لازم را انجام دهد.
تفاوت جراحی معمولی و کشیدن دندان عقل با لیزر
جراحی دندان عقل معمولی و لیزری تفاوتهای قابل توجهی دارند که بر تجربه بیمار تاثیر میگذارند. در روش معمولی، از ابزارهای دستی مانند تیغ و دریل استفاده میشود که میتواند تهاجمیتر باشد و وجود برشها در بافت لثه باعث خونریزی میشود. اما پرتوهای لیزر با دقت بالاتری برش را انجام میدهند و جلوی خونریزی را هم میگیرند. در ادامه میتوانید جدول مقایسه روش کشیدن سنتی دندان عقل و روش لیزری را ببینید:
| روش جراحی | مزایا | معایب |
| جراحی معمولی | هزینه کمتر، مناسب برای موارد پیچیده، دسترسی آسانتر به تجهیزات | درد و تورم بیشتر، بهبودی طولانیتر، خطر خونریزی بالاتر، نیاز به بخیه |
| جراحی با لیزر | درد کمتر، بهبودی سریعتر، کاهش عفونت، دقت بالا | هزینه بالاتر، ممکن است برای همه موارد مناسب نباشد، نیاز به تجهیزات تخصصی |
در آخر
جراحی دندان عقل با لیزر یک روش مدرن است که به دلیل مزایای زیادش این روزها طرفداران زیادی پیدا کرده. با این روش هم درد کمتری احساس میکنید هم بهبودی سریعتر میشود و هم عوارض کاهش پیدا میکند. در این مقاله به توضیح دقیق روش کشیدن دندان عقل با لیزر پرداختیم و تمام نکات مربوط به آن را برشمردیم. به کمک این راهنما میتوانید با اطلاعات کامل برای انتخاب روش مناسب تصمیم بگیرید.
اگر دندان عقلی دارید که نیاز به کشیدن دارد و میخواهید با کمترین عوارض ممکن انجام شود ما دکتر پاچناری را به شما معرفی میکنیم. در کلینیک دکتر پاچناری کاشت ایمپلنت دندان و جراحی ارتوگناتیک و ارتوسرجری با بهترین تکنیکها و با مناسبترین قیمت انجام میشود. برای رزور نوبت یا دریافت مشاوره همین حالا تماس بگیرید. ۰۲۱۲۶۲۰۵۶۱۰ – ۰۹۹۱۲۷۴۱۰۲۷
سوالات متداول
آیا کشیدن دندان عقل با لیزر درد دارد؟
حین جراحی از بیحسی موضعی استفاده میکنند و درد ملایم بعد از عمل هم با مسکن و کمپرس سرد از بین میرود.
آیا همه میتوانند از لیزر برای کشیدن دندان عقل استفاده کنند؟
محدودیت سنی خاصی برای استفاده از این روش در افرادی که با دندان عقل درگیر هستند وجود ندارد.
خوب شدن بعد از کشیدن دندان با لیزر چقدر طول میکشد؟
مدت زمان بهبودی به شدت مشکل فرد بستگی دارد ولی معمولا زودتر از روشهای معمولی خوب میشود. 1 تا 2 هفته برای بهبودی کامل پیشبینی میشود.






