درمان بیماریهای لثه قبل از ایمپلنت، کلید موفقیت کاشت ایمپلنت
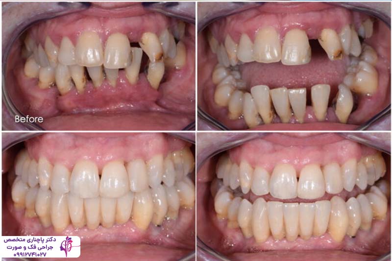
درمان بیماریهای لثه قبل از ایمپلنت یکی از مهمترین مراحلی است که باید انجام شود. بیماریهای لثه در صورت عدم درمان میتوانند تاثیر مستقیم روی موفقیت کاشت ایمپلنت داشته باشند. در دنیای دندانپزشکی مدرن ایمپلنت دندان به عنوان یکی از پیشرفتهترین روشها برای جایگزینی دندانهای از دست رفته به شمار میرود. این روش هم ظاهر طبیعی را به دندانها برمیگرداند هم عملکرد فک را هنگام جویدن و صحبت کردن بهبود میبخشد. اما موفقیت کاشت ایمپلنت به عوامل مختلفی بستگی دارد و مهمترین آنها سلامت لثههاست. درمان بیماریهای لثه قبل از ایمپلنت اهمیت زیادی دارد چون وجود هر گونه عفونت یا التهاب در لثه میتواند باعث شکست کاشت ایمپلنت شود.
بسیاری از افراد به دلیل از دست دادن دندانها به دلایل مختلف به بیماریهای لثه دچار میشوند. و این بیماریها بزرگترین مانع برای کاشت ایمپلنت هستند. در این مقاله قصد داریم درباره درمان تحلیل لثه بعد از ایمپلنت، ایمپلنت لثه تحلیل رفته، دلایل تحلیل لثه بعد از ایمپلنت و نکات مهم در این زمینه بپردازیم. ادامه این مقاله را با ما دنبال کنید.
در کلینیک دکتر حمید پاچناری، متخصص جراح فک و صورت در زعفرانیه تهران، انواع عملهای درمانی مربوط به مشکلات دهان و دندان با بهترین تکنیکها و متناسب با شرایط بیمار انجام میشود. در صورت بروز هرگونه عفونت در ناحیه لثهها، کاشت ایمپلنت در لثه تحلیل رفته، درمان بیماریهای مربوط به دهان و دندان مثل جراحی کیست و تومور سرطانی دهان میتوانید به کلینیک دکتر حمید پاچناری مراجعه کنید، ما در تمام مراحل درمان همراه شما خواهیم بود. برای دریافت مشاوره یا اخذ نوبت با این شمارهها تماس بگیرید. ۰۲۱۲۶۲۰۵۶۱۰ – ۰۹۹۱۲۷۴۱۰۲۷
اهمیت داشتن لثه سالم برای موفقیت ایمپلنت
لثههای سالم پایه و اساس موفقیت عمل کاشت ایمپلنت هستند. پایههای تیتانیومی ایمپلنت که به صورت مستقیم داخل فک بیمار کاشته میشوند برای تثبیت نیاز به یک بستر محکم دارند و وجود این بستر محکم به سلامت بافت لثه و استخوان فک وابسته است. اگر لثهها سالم نباشند احتمال بروز عفونت و در نتیجه ادغام نشدن پایه ایمپلنت با استخوان فک وجود دارد. درمان بیماریهای لثه قبل از ایمپلنت تضمین میکند که هیچ باکتری و عفونت مضری در محیط دهان وجود ندارد و در نتیجه ریسک شکست ایمپلنت هم کم میشود. ایمپلنتهایی که در لثههای سالم قرار میگیرند نرخ موفقیتی بیشتر از 95 درصد دارند اما در مواردی که ایمپلنت با وجود بیماریهای لثه انجام میشود این نرخ به شکل قابل توجهی کم میشود. حفظ ساختار استخوان فک به داشتن لثه سالم گره خورده و این موضوع برای محکم شدن ایمپلنت در جای خود اهمیت زیادی دارد.
اگر درمان بیماریهای لثه قبل از ایمپلنت انجام نشود التهاب لثه میتواند به بافتهای عمیق نفوذ کند و باعث آسیب به استخوان شود. این موضوع نه تنها به ایمپلنت آسیب میرساند بلکه سلامت عمومی دهان را هم به خطر میاندازد. بنابراین درمان بیماریهای لثه قبل از ایمپلنت نه تنها یک اقدام پیشگیرانه در برابر این عوارض است بلکه برای دستیابی به نتایج موفقیتآمیز اهمیت زیادی دارد.
بیماری پریودنتال چیست؟
بیماری پریودنتال یا بیماری لثه در حقیقت عفونت باکتریایی است که بافتهای اطراف دندانها را تحت تاثیر قرار میدهد. این بیماری میتواند در مراحل مختلف با شدتهای متفاوت بروز کند. برای درک بهتر و اقدام برای درمان بیماریهای لثه قبل از ایمپلنت، این بیماری را میتوان به سه بخش اصلی تقسیم کرد: التهاب لثه (ژنژیویت)، پریودنتیت و پریودنتال. هر یک از این موارد ویژگیها، علائم و تأثیرات خاص خود را دارند که در ادامه هرکدام را توضیح میدهیم.
التهاب لثه (ژنژیویت)
التهاب لثه یا ژنژیویت خفیفترین شکل بیماری لثه است و به عنوان مرحله اولیه بیماری پریودنتال شناخته میشود. در این مرحله لایهای چسبناک از باکتریها و باقیمانده غذا روی صطح دندانها و در امتداد خط لثه جمع میشود. این پلاک اگر به طور منظم با مسواک زدن و نخ دندان پاک نشود، لثهها را تحریک میکند و منجر به التهاب میشود.
علائم التهاب لثه معمولا شامل قرمزی، تورم و گاهی خونریزی لثهها هنگام مسواک زدن یا استفاده از نخ دندان است. ژنژیویت هیچ دردی ندارد و به همین دلیل بسیاری از افراد اصلا متوجه این مشکل نمیشوند تا زمانی که به دندانپزشک مراجعه کنند. خوشبختانه این مشکل کاملا قابل درمان است و با رعایت بهداشت دهان و دندان، مسواک زدن منظم و استفاده از نخ دندان و در موارد شدیدتر دخالت دندان پزشک کاملا از بین میروند. اگر این مشکل در همین مرحله درمان نشود میتواند با شدیدتر شدن برای کاشت ایمپلنت دندان مشکلساز شود. درمان بیماریهای لثه قبل از ایمپلنت مثل ژنژیویت تضمین میکند که لثه برای حفظ پایه ایمپلنت کاملا شرایت مناسبی دارد.
پریودنتیت
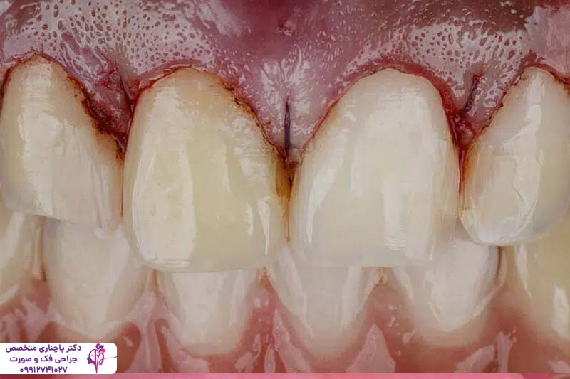
پریودنتیت مرحله پیشرفتهتر و جدیتر بیماری لثه است که در صورت عدم درمان ژنژیویت ایجاد میشود. در این مرحله، عفونت باکتریایی از سطح لثه به بافتهای عمیقتر، از جمله استخوان نفوذ میکند. باکتریها باعث ایجاد کیسههای عفونی یا کیسههای پریودنتال بین دندان و لثه میشوند و به تدریج به عمق بافت لثه نفوذ میکنند و باعث تجمع بیشتر پلاک و جرم میشوند. این مرحله از بیماری پریودنتال به تدریج باعث تخریب بافت لثه و استخوان میشود و در موارد حاد حتی با عقب راندن لثه باعث شل شدن دندانها و رد نهایت افتادن آنها میشود.
این مرحله از بیماری خودش را با خونریزی مداوم لثه، بوی بد دهان و حساسیت شدید دندانها به گرما و سرما و حتی درد در هنگام جویدن نشان میدهد. این مشکل در موارد شدید بافت لثه را کامل از بین میبرد و ریشه دندان نمایان میشود. بر خلاف ژنژیویت این مشکل نیاز به درمان حرفهای از طرف دندانپزشگ دارد. درمان بیماریهای لثه قبل از ایمپلنت در این مرحله شامل تمیز کردن عمیق توسط دندانپزشک، جراحی لثه یا حتی استفاده از آنتیبیوتیکهای قوی میشود. برای بیمارانی که قصد انجام ایمپلنت دارند درمان این مرحله از بیماری لثه قبل از ایمپلنت اهمیت زیادی دارد چون عفونت فعال باعث التهاب در اطراف ایمپلنت میشود و در نتیجه کاشت با شکست مواجه میشود.
پریودنتال
اصطلاح پریودنتال به طور کلی به تمام بیماریهای مرتبط با بافتهای اطراف دندانها اشاره دارد، که شامل ژنژیویت و پریودنتیت میشود. اصطلاح پریودنتال به ساختارهایی مانند لثه، استخوان فک و رباطهای پریودنتال که دندانها را در جای خود نگه میدارند، اشاره دارد. بیماری پریودنتال از یک التهاب ساده در لثه شروع میشود و در صورت عدم درمان باعث تخریب پیشرفته بافت و استخوان میشود.
بیماری پریودنتال نه تنها دندانهای طبیعی را تهدید میکند، بلکه برای ایمپلنتهای دندانی نیز خطرناک است. باکتریهایی که باعث بیماری پریودنتال میشوند، میتوانند به بافتهای اطراف ایمپلنت حمله کنند و باعث التهاب و از دست رفتن استخوان همان ناحیه شوند. از آنجا که ایمپلنت به یک بستر استخوانی محکم نیاز دارد این بیماری مانع کاشت میشود. برای درمان بیماریهای لثه قبل از ایمپلنت اول باید مرحله و شدت پیشرفت بیماری تشخیص داده شود. در ادامه بنا به تجویز دندانپزشک برای درمان اقدام میشود.
جدول مقایسه مراحل مختلف بیماری پریودنتال
| نوع بیماری | توضیح | علائم اصلی | درمان | تاثیر بر ایمپلنت |
| التهاب لثه (ژنژیویت) | خفیفترین شکل بیماری لثه که در اثر تجمع پلاک باکتریایی روی دندانها و خط لثه ایجاد میشود. این مرحله اولیه بیماری پریودنتال است و با التهاب لثه همراه است. | قرمزی، تورم، خونریزی لثه هنگام مسواک یا نخ دندان، بدون درد. | رعایت بهداشت دهان (مسواک زدن منظم، نخ دندان)، تمیز کردن حرفهای توسط دندانپزشک. قابل برگشت است. | در صورت عدم درمان، میتواند به پریودنتیت پیشرفت کند و پایه لثه را برای ایمپلنت ضعیف کند. |
| پریودنتیت | مرحله پیشرفته بیماری لثه که عفونت به بافتهای عمیقتر و استخوان نفوذ میکند، باعث ایجاد کیسههای عفونی و تخریب بافت میشود. | خونریزی مداوم لثه، بوی بد دهان، حساسیت دندانها به گرما و سرما، درد هنگام جویدن، عقبنشینی لثه، شل شدن دندانها. | تمیز کردن عمیق (اسکالینگ و روت پلنینگ)، جراحی لثه، آنتیبیوتیک. نیاز به مداخله حرفهای دارد. | عفونت فعال میتواند باعث التهاب اطراف ایمپلنت (پریایمپلنتیت) و شکست ایمپلنت شود. |
| پریودنتال | اصطلاح کلی برای بیماریهای مرتبط با بافتهای اطراف دندان (لثه، استخوان فک، رباطهای پریودنتال)، شامل ژنژیویت و پریودنتیت. | بسته به مرحله: از التهاب ساده تا تخریب پیشرفته بافت و استخوان. | شناسایی مرحله بیماری و درمان متناسب (از بهداشت دهانی تا جراحی). | باکتریها میتوانند به بافت اطراف ایمپلنت حمله کنند و باعث از دست رفتن استخوان و شکست ایمپلنت شوند. |
تاثیر بیماری لثه روی ایمپلنت
یکی از دلایلی که روی درمان بیماریهای لثه قبل از ایمپلنت تاکید داریم تاثیر مخرب این بیماریها روی نتیجه کاشت ایمپلنت است. باکتریها میتوانند با نفوذ به بافت اطراف ایمپلنت باعث التهاب شوند. این التهاب به استخوان اطراف پایه ایمپلنت آسیب میزند و باعث شل شدن و شکستن ایمپلنت میشود. درمان بیماری های لثه قبل از ایمپلنت این ریسک را به حداقل میرساند، اما اگر بیماری پس از کاشت بازگردد باز هم برای ایمپلنت خطرناک است. بیمارانی که سابقه بیماریهای لثه دارند و ایمپلنت انجام میدهند باید مراقبتهای بیشتری انجام دهند تا دچار عفونت نشوند.
علل بروز بیماریهای لثه قبل از ایمپلنت
دلایل مختلفی برای ابتلا به بیماریهای لثه وجود دارد. قبل از اقدام برای درمان بیماریهای لثه قبل از ایمپلنت باید این دلایل بشناسید:
- تجمع پلاک و باکتریها: بیماریهای لثه معمولا ناشی از تجمع پلاک باکتریایی روی دندانهاست که وقتی به صورت منظم پاک نمیشوند به جرم تبدیل شده و لثهها را تحریک میکند.
- عدم رعایت بهداشت دهان و دندان: مسواک نزدن منظم، استفاده نکردن از نخ دندان یا استفاده نادرست از ان باعث تجمع باکتریها بین دندان و لثه میشود که یکی از اصلیترین دلایل بروز بیماریهای لثه است.
- سیگار کشیدن: سیگار جریان خون به لثهها را کاهش میدهد، توانایی بدن برای مبارزه با عفونت را ضعیف میکند و خطر ابتلا به بیماری لثه را افزایش میدهد.
- تغییرات هورمونی: تغییرات هورمونی در دوران بارداری یا یائسگی میتواند لثهها را حساستر کرده و احتمال بروز بیماری لثه را بالا ببرد.
- رژیم غذایی نامناسب: مصرف زیاد قندها و نوشیدنیهای اسیدی محیطی مناسب برای رشد باکتریها فراهم میکند و خطر بیماری لثه را افزایش میدهد.
- بیماریهای سیستمیک مانند دیابت: سطح قند خون بالا در بیماریهایی مثل دیابت باعث تشدید جمع شدن باکتریها و در نتیجه ابتلا به بیماریهای لثه میشود.
- ژنتیک: برخی افراد به دلیل عوامل ژنتیکی حساسیت بیشتری به پلاکها و باکتریها دارند که میتواند خطر ابتلا به بیماری لثه را افزایش دهد.
روش های ترمیم و درمان بیماریهای لثه قبل از ایمپلنت
روشهای مختلفی برای ترمیم و درمان بیماریهای لثه قبل از ایمپلنت وجود دارد که بسته به شدت بیماری انتخاب میشوند. یکی از رایجترین روشها، تمیز کردن عمیق دندانهاست که شامل اسکالینگ و روت پلنینگ میشود، در این روش پلاک و جرم را از زیر خط لثه برمیدارند تا عفونت کنترل شود. در بعضی موارد پیشرفته و حاد بنا به تشخیص و صلاحدید دندان پزشک جارحی انجام میشود. جراحی فلپ یکی از این روشهای جراحی است که در آن بافت لثه را بلند میکنند تا با دسترسی راحتتر به ریشهها بافت آسیبدیده را بردارند. استفاده از آنتیبیوتیک هم میتواند میزان باکتریها را کم کند.
یکی دیگر از روشهای درمان بیماریهای لثه قبل از ایمپلنت روش گرافت لثه است. در این روش بافت سالم را از جای دیگری برمیدارند و به لثه آسیبدیده پیوند میزنند. لیزر درمانی نیز یک گزینه مدرن است. در این روش به کمک پرتوهای لیزر با دقت بالا باکتریها را از بین میبرند و در نتیجه التهاب کمتر میشود بدون اینکه نیازی به برش دادن لثه باشد. این روش نه تنها به درمان بیماریهای لثه قبل از ایمپلنت کمک میکند بلکه برای حفظ بهداشت دهان و دندان هم موثر است.
مراحل درمان بیماریهای لثه قبل از ایمپلنت
درمان بیماریهای لثه قبل از ایمپلنت معمولا در چند مرحله انجام میشود. در ابتدا دندانپزشک لثه بیمار را معاینه میکند و به کمک عکسبرداری عمق عفونت و شدت بیماری را تشخیص میدهد. در مرحله بعد به کمک ابزارهای اولتراسونیک پلاک و جرم را بدون آسیب به بافتهای سالم اطراف برمیدارد. پس از این کار بیمار باید بهداشت دهان و دندان را جدیتر رعایت کند و حتما از دهانشویههای ضدباکتری هم استفاده کند. برای موارد پیشرفتهتر ممکن است نیاز به جارحی باشد تا بافتهای عفونی کاملا برداشته شوند و لثه ترمیم شود. پس از طی شدن روند درمان بیمار باید به صورت منظم برای بررسی سلامت لثهها به دندانپزشک مراجعه کند.
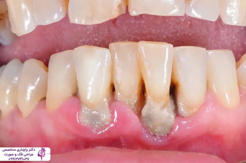
درمان تحلیل لثه بعد از ایمپلنت
تحلیل لثه پس از کاشت ایمپلنت میتواند مشکلساز باشد. این مشکل اغلب به دلیل التهاب یا بیماریهای لثهای مانند پریایمپلنتیت رخ میدهد که باکتریها به بافت اطراف ایمپلنت نفوذ کرده و باعث عقبنشینی لثه میشوند. برای درمان تمیز کردن عمیق برای حذف پلاک و جرم، استفاده از آنتیبیوتیکها در موارد عفونی، و در شرایط پیشرفتهتر، جراحی لثه یا گرافت لثه برای بازسازی بافت از دست رفته پیشنهاد میشود. در موارد حادی که استخوان فک زیادی تحلیل رفته و تراکم لازم را ندارد باید پیوند استخوان فک از لگن انجام شود تا بستر مناسب برای کاشت ایمپلنت فراهم شود.رعایت بهداشت دهان، از جمله مسواک زدن منظم و استفاده از دهانشویه ضدباکتری، همراه با ویزیتهای دورهای دندانپزشکی کمک میکند تا جلوی پیشرفت تحلیل لثه را بگیرید و سلامت ایمپلنت را حفظ کنید.
تاثیر تحلیل رفتن استخوان فک روی دندانها
تحلیل رفتن استخوان فک یکی از عواقب جدی بیماریهای لثه است که مستقیما دندانها را تحت تاثیر قرار میدهد. وقتی عفونت به استخوان نفوذ میکند، بدن برای مبارزه استخوان را جذب میکند، که این منجر به کاهش حجم استخوان میشود. این تحلیل رفتن استخوان فک باعث شل شدن دندانها میشود چون بستر محکمی که ریشهها را نگه میداشت دیگر وجود ندارد. علاوه بر این تحلیل رفتن استخوان فک ظاهر صورت را تغییر میدهد، فک کوچکتر به نظر میرسد و گونهها فرو میروند. این موضوع برای کاشت ایمپلنت اهمیت زیادی دارد چون پایهها برای محکم شدن به یک بستر استخوانی قوی نیاز دارند. درمان بیماریهای لثه قبل از ایمپلنت جلوی این تحلیلرفتگی را میگیرد در موارد حاد هم پیوند استخوان میتواند این مشکل را برطرف کند.
کلام پایانی
در نهایت، درمان بیماری های لثه قبل از ایمپلنت کلیدی برای دستیابی به نتایج موفق و پایدار است. با درک اهمیت لثه سالم، علل و علائم بیماری، و روشهای درمان، بیماران میتوانند اقدام مناسب را انجام دهند و سلامت عمومی دهان و دندان خود را تضمین کنند. علاوه بر این داشتن یک لثه سالم و استخوان متراکم کلید موفقیت کاشت ایمپلنت است.
اگر لثه شما بدون درد هنگام مسواک زدن دچار خونریزی میشود یا در لثه احساس تورم میکنید یا حس میکنید دندانهایتان کمی شل شدهاند احتمال اینکه دچار یکی از مراحل بیماری لثه شده باشید وجود دارد. برای درمان این بیماریها و آماده کردن بستر استخوانی لثه برای کاشت ایمپلنت دندان میتوانید به کلینیک دکتر پاچناری مراجعه کنید. جراحی کیست و تومور سرطانی دهان، درمان اختلال مفصل گیجگاهی فکی از جمله خدمات این کلینیک هستند. برای رزرو نوبت و دریافت مشاوره همین حالا تماس بگیرید. ۰۲۱۲۶۲۰۵۶۱۰ – ۰۹۹۱۲۷۴۱۰۲۷
سوالات متداول
چرا درمان بیماریهای لثه قبل از ایمپلنت ضروری است؟
درمان بیماریهای لثه از بروز عفونت و التهاب جلوگیری میکند، جلوی تحلیل رفتن لثه و استخوان فکر را میگیرد و در نتیجه نرخ موفقیت کاشت ایمپلنت هم بالا میرود.
آیا میتوان با وجود بیماری لثه ایمپلنت کاشت؟
بله، اما ابتدا باید بیماری لثه درمان شود تا بستر مناسب برای کاشت ایمپلنت فراهم شود.
چه مدت طول میکشد تا لثه بعد از درمان برای ایمپلنت آماده شود؟
مدت زمان درمان به شدت بیماری بستگی دارد. ژنژیویت ممکن است ظرف چند هفته خوب شود اما پریودنتیت پیشرفتهتر نیاز به چند ماه درمان و بهبودی دارد.
آیا بیماری لثه پس از ایمپلنت ممکن است بازگردد؟
بله، در صورت عدم رعایت بهداشت دهان، بیماری میتواند بازگردد.






