همه چیز درباره جراحی لثه برای ایمپلنت
جراحی لثه برای ایمپلنت دندان یکی از جراحیهای جانبی است که در بعضی بیماران برای موفقیت بیشتر کاشت ایمپلنت انجام میشود. بسیاری از افراد فکر میکنند ایمپلنت دندان یعنی فقط کاشت پایه و بعد هم نصب روکش ولی سلامت لثهها یکی از مهمترین موارد تاثیرگذار در موفقیت کاشت ایمپلنت دندان است. لثه بستر قرارگیری ایمپلنت است و از پایه محافظت میکند و به همین دلیل باید یک بافت سالم و کافی داشته باشد تا ایمپلنت به خوبی در جای خود ثابت شود و حرکت نکند. اگر لثه کیفیت خوبی نداشته باشد احتمال اینکه ایمپلنت جابجا شود یا عفونت کند وجود دارد. هدف اصلی جراحی لثه قبل از ایمپلنت دندان ایجاد یک پایه و بستر محکم برای قرار گرفتن ایمپلنت است. جراحی لثه اغلب برای افرادی ضروری است که به دلیل بیماریهای لثه، ژنتیک یا عادتهای نادرست مانند مسواک زدن شدید، دچار تحلیل لثه شدهاند.
منظور از جراحی لثه برای ایمپلنت چیست؟
منظور جراحی لثه برای ایمپلنت انجام عملهای درمانی به هدف بهبود کیفیت و مقدار بافت لثه در اطراف محل کاشت است. به کمک این جراحیها مشکلاتی مثل تحلیل لثه، نازک بودن بافت یا پوشش ناکافی ریشه را درست میکنند. وقتی لثه بافت کافی ندارد ایمپلنت نمیتواند به خوبی با استخوان فک ادغام شود و در نهایت باعث التهاب یا عفونت میشود. در واقع، لثه نقش یک سپر محافظ را برای ایمپلنت ایفا میکند. وقتی لثه تحلیل میرود، ریشه ایمپلنت ممکن است نمایان شود و این هم روی ظاهر و زیبایی تاثیر دارد و هم باعث مشکلاتی مثل عفونت میشود. به کمک جراحی لثه یا بافت جدید ایجاد میکنند یا بافت موجود را تقویت میکنند.
تمام روشهای جراحی لثه قبل از ایمپلنت تحت بیحسی موضعی انجام میشود و مدت زمان انجام آن بسته به پیچیدگی مشکل بیمار متفاوت است. دوره نقاهت بعد از جراحی طولانی نیست و با رعایت نکات مراقبتی بافت جدید به خوبی ترمیمی میشود. با انجام جراحی هم نرخ موفقیت کاشت ایمپلنت بالا میرود و هم حساسیت دندانها کمتر میشود.
در کلینیک دکتر حمید پاچناری، متخصص جراح فک و صورت در زعفرانیه تهران، تمامی جراحی ها و درمان های مربوط به کاشت ایمپلنت دندان از جمله پیوند استخوان با پودر یا استخوان لگن انجام می شود. برای دریافت مشاوره یا اخذ نوبت همین حالا تماس بگیرید. ۰۲۱۲۶۲۰۵۶۱۰ – ۰۹۹۱۲۷۴۱۰۲۷

انواع جراحی لثه برای ایمپلنت
جراحی لثه قبل از ایمپلنت انواع مختلفی دارد و هرکدام برای مشکل خاصی مناسب هستند. در این روشها یا با بازسازی بافت لثه پوشش بیشتری ایجاد میکنند یا ساختار لثه را برای اینکه راحتتر با ایمپلنت ادغام شود تغییر میدهند. در ادامه به انواع جراحی لثه قبل از ایمپلنت اشاره میکنیم:
جراحی فلپ لثه
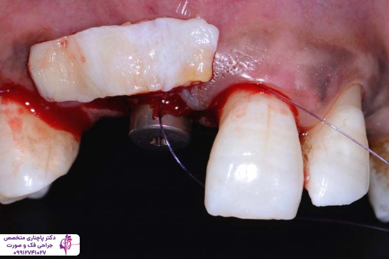
جراحی فلپ لثه یکی از روشهای جراحی لثه قبل از ایمپلنت است که در آن لثه را برش میدهند، بافت را بند میکنند تا به استخوان زیر آن دسترسی پیدا کنند. این روش اغلب برای تمیز کردن عمیق ریشهها یا آمادهسازی محل ایمپلنت استفاده میشود. اگر لثه عفونت داشته باشد یا در عمق لثه پلاک جمع شده باشد این جراحی به پاکسازی ناحیه کمک میکند و بافت سالمتری ایجاد میکند. بعد از برداشتن فلپ جراح در صورت نیاز استخوان را شکل میدهد یا بافت اضافی را برمیدارد و فلپ را دوباره بخیه میکند.
این جراحی برای بیمارانی که بیمارهای پیشرفته لثه دارند مناسب است. یک تا دو هفته طول میکشد تا لثه بهبود پیدا کند و در این مدت لثه جدید به خوبی به استخوان میچسبد. به کمک این روش احتمال عفونت اطراف ایمپلنت کم میشود و یک پایه محکمتر برای کاشت درست میشود. اگر لثه خیلی نازک باشد این روش را با پیوند لثه ترکیب میکنند.
بازسازی تحلیل لثه
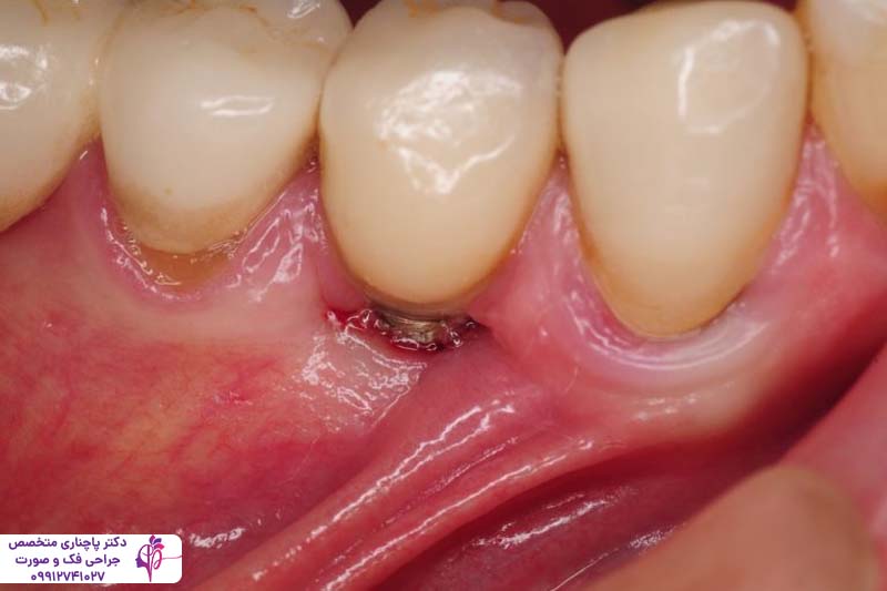
در عمل بازسازی تحلیل لثه آن قسمتی که دچار تحلیل شده را بازسازی میکنند. معمولا برای این روش جراحی لثه برای ایمپلنت از مواد مصنوعی یا بافت لثه خود بیمار در قسمتهای دیگر دهان استفاده میکنند. اگر لثه تحلیل رفته باشد و بعد ایمپلنت انجام شود پایه ایمپلنت از پشت بافت نازک لثه دیده میشود و ظاهر ناخوشایندی ایجاد میکند بازسازی کمک میکند بافت لثه در اطراف پایه ایمپلنت ضخیمتر و مقاومتر شود و جلوی تحلیل بیشتر را هم میگیرد. در این روش جراحی با استفاده از مواد بازسازیکننده مثل غشاهای خاص یا پودرهای استخوانی بافت را به رشد مجدد تحریک میکنند.
زمان انجام این عمل طولانی نیست و دوره بهبودی آن ممکن است چند ماه طول بکشد. این روش را بیشتر برای بیمارانی انجام میدهند که دچار بیماریهای لثه شدهاند یا به صورت ژنتیکی لثه آنها دچار تحلیل شده است. به کمک این عمل موفقیت کاشت ایمپلنت تا بیش از 90 درصد بالا میرود.

افزایش طول تاج دندان
افزایش طول تاج دندان یک روش جراحی است که در آن بخشی از لثه را برمیدارند تا تاج دندان بیشتر نمایان شود. این روش را معمولا برای آمادهسازی دندانهای اطراف ایمپلنت استفاده میشود تا یک ظاهر یکنواخت بین دندانهای مجاور با تاج ایمپنت ایجاد شود. اگر لثه بیش از حد روی دندان را پوشانده باشد به کمک این جراحی بخشی از بافت لثه را برمیدارند و تاج بلندتر میشود. همچنین این روش میتواند مشکلاتی مثل لبخند لثهای را هم برطرف کند. این جراحی معمولاً با بیحسی انجام میشود و دوره بهبودی و نقاهت آن طولانی نیست.
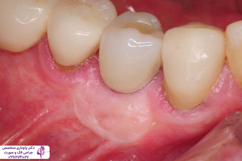
پیوند لثه برای ایمپلنت
پیوند لثه یکی از رایجترین روشها برای ایمپلنت است که در آن بافت مورد نیاز را از نواحی دیگر مانند سقف دهان برمیدارند و به محل تحلیل رفته پیوند میزنند. این روش جراحی لثه برای ایمپلنت انواع مختلفی دارد، پیوند بافت همبند یا پیوند بافت آزاد از تکنیکهای این روش هستند که بسته به نیاز بیمار انتخاب میشود. هدف در این جراحی افزایش حجم و ضخامت لثه است تا پوشش مناسبی برای نگهداری از پایه ایمپلنت ایجاد شود. بافتی که از قسمتهای دیگر دهان برداشته شده روی محل مورد نظر قرار میگیرد و بخیه میشود. این روش برای بیمارانی که لثه نازکی دارند ضروری است و میتواند ظاهری طبیعیتر به ایمپلنت بدهد. حدود دو هفته طول میکشد تا بهبودی کامل شود.
درصورتی که برای درمان تحلیل رفتگی استخوان فک نیاز به درمان دارید به صفحه پیوند استخوان فک از لگن مراجعه کنید. ۰۲۱۲۶۲۰۵۶۱۰ – ۰۹۹۱۲۷۴۱۰۲۷
هزینه جراحی لثه برای ایمپلنت
هزینه جراحی لثه برای ایمپلنت به عوامل مختلفی بستگی دارد. نوع روش جراحی، وسعت ناحیه جراحی تعداد نواحی در لثه، تخصص و مهارت دندانپزشک از جمله موارد تاثیر گذار روی هزینهها هستند. به طور کلی هرچه جراحی سادهتر باشد هزینه کمتری لازم دارد و هرچه وسعت ناحیه بزرگتر یا جراحی پیچیدهتر باشد هزینه هم بالاتر میرود. استفاده از تجهیزات پیشرفته مثل لیزر هم هزینهها را بالا میبرد. اگر بیمار در کنار جراحی لثه به پیوند استخوان هم نیاز داشته باشد هزینه پیوند استخوان هم به هزینهها اضافه میشود. در نهایت موقعیت جغرافیایی کلینیک و کیفیت موادی که برای پیوند یا ترمیم استفاده یشود هم روی بالا و پایین رفتن هزینهها تاثیر دارد. برای برآورد دقیق هزینهها باید اول کاملا معاینه شوید تا تکنیک جراحی مناسب انتخاب شود و متناسب آن هزینهها مشخص شود.
عوارض جراحی لثه برای ایمپلنت
جراحی لثه قبل از ایمپلنت هم مانند هر جراحی دیگری میتواند با عوارضی همراه باشد. از عوارض شایع این عمل میتوان به خونریزی، تورم و درد خفیف اشاره کرد که با دارو کنترل میشود. در بعضی موارد نادر هم بیمار ممکن است بعد از عمل دچار عفونت شود که باید برای رفع آن آنتیبیوتیک مصرف کند. احتمال اینکه در بعضی موارد بدن بافت پیوندی را پس بزند وجود دارد. در این شرایط پیوند باید دوباره انجام شود. یک عارضه دیگر جراحی لثه حساسیت موقت دندانها به سرما یا گرما است که بعد از مدت کوتاهی از بین میرود. سیگار کشیدن و رعایت نکردن بهداشت دهان میتواند این عوارض را شدیدتر کند. برای جلوگیری از این مشکلات باید دستورات جراح را دقیق دنبال کنید و مراقبتهای بعد از عمل را انجام دهید. اگر علائمی مثل تب بالا یا خونریزی شدید مشاهده کردید فورا به پزشک مراجعه کنید. با وجود این عوارض باز هم نرخ موفقیت در جراحی لثه برای ایمپلنت بالاست و معمولا باعث مشکلات شدید نمیشود.

مراقبت بعد از جراحی لثه برای ایمپلنت
برای اینکه نرخ موفقیت عمل بالاتر برود و دچار عوارض نشوید باید نکات مراقبتی بعد از جراحی لثه را به درستی دنبال کنید.
- بعد از عمل حتما از کمپرس سرد استفاده کنید تا تورم کاهش پیدا کند.
- تا زمانی که بهبودی کامل حاصل شود ورزش و فعالیتهای سنگین را کنار بگذارید.
- برای شستشوی دهان از دهانشویههای ضدباکتریایی استفاده کنید تا جلوی عفونت را بگیرد.
- تا زمانی که زخم جراحی کامل خوب نشده از مسواک زدن و نخ دندان کشیدن اجتناب کنید.
- در صورتی که بعد از عمل درد داشتید مسکنهای تجویزی را مطابق دستور مصرف کنید.
- ویزیتهای دورهای را برای بررسی روند بهبودی حتما پیگیری کنید.
- بعد از عمل سیگار و الکل را کنار بگذارید چون روند بهبودی را مختل میکنند.
در کلینیک دکتر پاچناری درمان مشکلات مفاصل صورت مثل درمان اختلال مفصل گیجگاهی فکی انجام می شود. ۰۲۱۲۶۲۰۵۶۱۰ – ۰۹۹۱۲۷۴۱۰۲۷
بعد از جراحی لثه چی بخوریم
تغذیه مناسب بعد از جراحی لثه برای ایمنپلنت دندان اهمیت زیادی دارد. روزهای اول حتما غذاهای نرم و خنک بخورید مثل ماست، پودینگ یا اسموتی تا فشاری به لثه شما وارد نشود. غذاهای داغ، تند یا سفت نخورید چون به لثه آسیب میرسانند. هفته اول میتوانید غذاهایی مثل تخممرغ یا پاستای نرم و سبزیجات پخته را به رژیم غذایی خود اضافه کنید.
با پیشرفت بهبودی کم کم سمت رژیم غذایی معمولی خود بروید ولی باز هم غذاهای سفت نخورید. نوشیدن آب زیاد میتواند به روند بهبودی کمک کند. الکل و نوشیدنیهای گازدار را هم برای مدتی کنار بگذارید تا بهبودی کامل حاصل شود.
تقویت لثه برای ایمپلنت
تقویت لثه قبل و بعد از ایمپلنت نقش بسیار مهمی در موفقیت کاشت ایمپلنت دندان دارد. سادهترین کاری که برای تقویت لثه میتوانید انجام دهید رعایت بهداشت دهان با استفاده از یک مسواک نرم و خمیردندان مناسب است. روزانه از دهانشویههای ضدباکتریایی استفاده کنید تا پلاک و التهاب کم شود. غذاهای غنی از ویتامین C بخورید، مثل مرکبات و سبزیجات برگدار، حتما به رژیم خود لبنیات و مکمک اضافه کنید تا کلسیم بدن تامین شود. این مواد به بازسازی و استحکام بافت لثه کمک میکنند.
عادتهای مضر مثل مصرف الکل و سیگار را کنار بگذارید. همچنین مسواک زدن تهاجمی هم میتواند به لثه آسیب برساند و باعث تحلیل رفتن آن شود. ورزش منظم و رژیم غذایی متعادل با پروتئین کافی به گردش خون بهتر کمک کرده و فرآیند ترمیم را سریعتر میکند. در صورتی که لثه خیلی ضعیف باشد بیمار باید جراحی لثه قبل از ایمپلنت انجام دهد تا یک بستر مناسب برای قرار گرفتن پایههای تیتانیومی ایمپلنت ایجاد شود.
کلام پایانی درباره جراحی لثه برای ایمپلنت
جراحی لثه برای ایمپلنت هم بر سلامت دهان و دندان شما تاثیر دارد و هم به موفقیت بیشتر کاشت ایمپلنت کمک میکند. برای درمان مشکلات لثه قبل از کاشت ایمپلنت دندان روشهای متنوعی وجود دارد که هر کدام برای رفع مشکل خاصی مناسب هستند. برای این کار باید حتما نزد یک دندان پزشک با تجربه بروید، دندانپزشک بعد از معاینه بهترین و مناسبترین روش را پیشنهاد میکند. برای کاشت ایمپلنت دندان، جراحی دندان نهفته، درمان شکستگی های صورت و بسیاری دیگر از خدمات درمانی مربوط به فک و صورت می توانید با شماره های کلینیک دکتر پاچناری تماس بگیرید. ۰۲۱۲۶۲۰۵۶۱۰ – ۰۹۹۱۲۷۴۱۰۲۷
سوالات متداول
آیا جراحی لثه برای ایمپلنت دردناک است؟
خیر این عمل تحت بیحسی موضعی انجام میشود و دردی حس نمیکنید. درد خفیف بعد از عمل هم با مسکن کنترل میشود.
چند هفته طول میکشد تا لثه بهبود پیدا کند و کاشت ایمپلنت انجام شود؟
معمولا 6 تا 12 هفته طول میکشد تا بافت لثه کاملا ترمیم شود.
آیا همه افرادی که قصد کاشت ایمپلنت دارند باید جراحی لثه انجام دهند؟
خیر این جراحیها فقط برای بیمارانی انجام میشود که بافت لثه آنها تحلیل رفته و نازک شده یا به بیماریهای پریودنتال دچار شدهاند.


